Chiamaci
+39 081 526 27 19
Home
Lo Studio
Servizi
Bruxismo
Chirurgia orale
Endodonzia
Gnatologia
Igiene orale
Implantologia dentale
Odontoiatria estetica
Ortodonzia invisibile
Ortodonzia tradizionale
Parodontologia
Pedodonzia
Protesi
Radiografia
Sbiancamento
Terapia conservativa
Gallery
Studio
Casi Clinici
Contatti
Home
Lo Studio
Servizi
Bruxismo
Chirurgia orale
Endodonzia
Gnatologia
Igiene orale
Implantologia dentale
Odontoiatria estetica
Ortodonzia invisibile
Ortodonzia tradizionale
Parodontologia
Pedodonzia
Protesi
Radiografia
Sbiancamento
Terapia conservativa
Gallery
Studio
Casi Clinici
Contatti
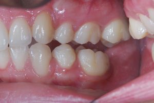
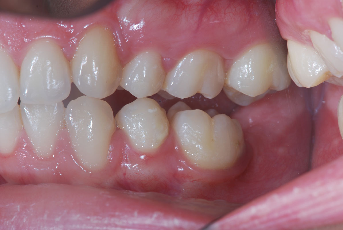
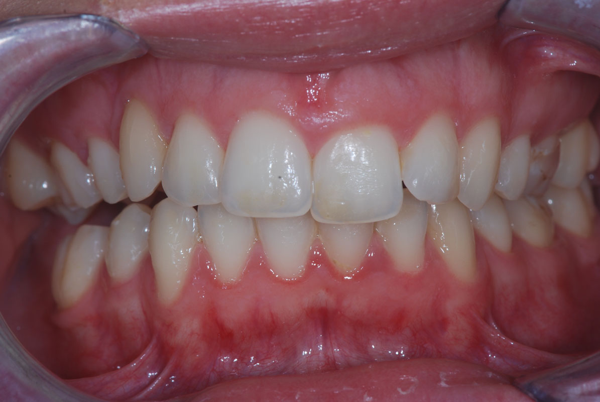
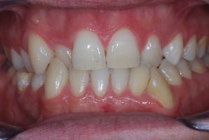
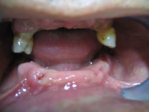
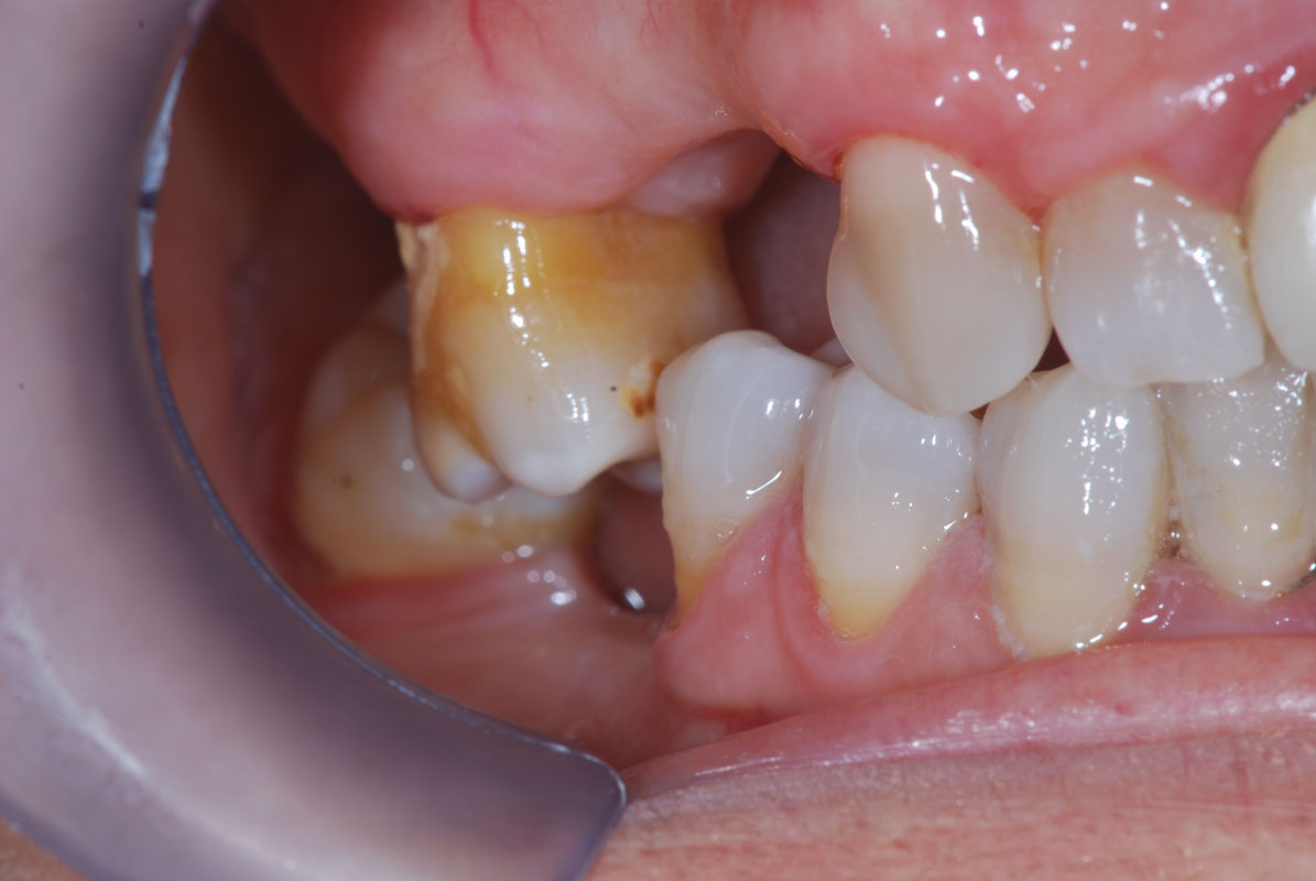
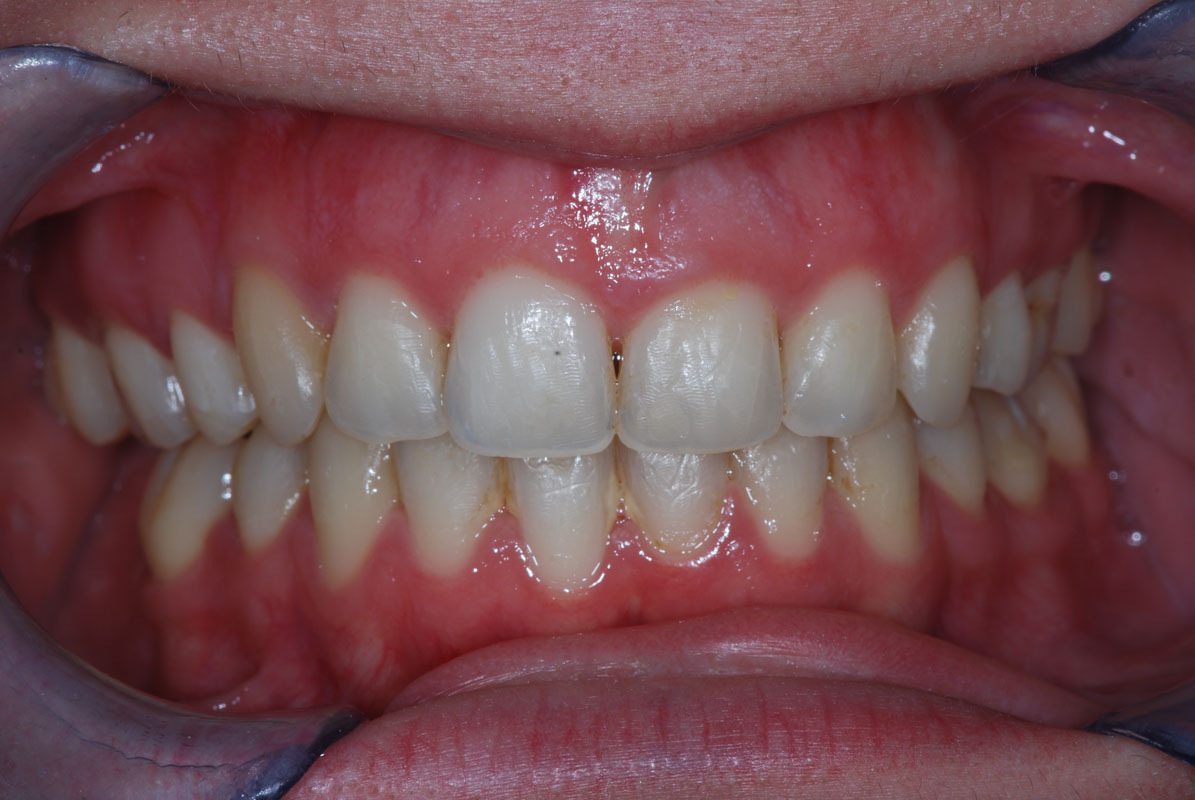
Casi Clinici
Galleria fotografica dei casi trattati nello Studio
Ortodonzia
Protesi Dentali Fisse
Impiantologia
Protesi dentali mobili
Terapia conservativa
Sbiancamento dentale
Apicectomia, Bite, Devitalizzazione
Corone protesiche estetiche
Filler labbra
Filler labbra e naso-geniene
Filler naso-geniene
Intrusione con mini impianti
Trattamento ortodontico
Mini impianti ortodontici
Riabilitazione protesica
Riabilitazione protesica su impianti
Ritrattamento ortodontico
Vuoi saperne di più?
Desideri ricevere un preventivo online, passare allo studio o contattarci?
Vai ai contatti
Open chat
Scan the code
Segreteria Studio D'Isanto
Salve,
Come posso aiutarla?